<<
>>

ДИФФЕРЕНЦИАЛЬНАЯ ДИАГНОСТИКА ОКС

Некоторые кардиальные и некардиальные заболевания могут имитировать ОКС, вызывая сложности в диагностике, что наиболее часто имеет место при ОКСбпST, когда изменения на ЭКГ могут отсутствовать. Причина болей в грудной клетке с большой вероятностью может быть верифицирована на основании оценки характера, локализации, иррадиации, продолжительности ощущений, факторов их провоцирующих и устраняющих.

Принципы дифференциальной диагностики болей в грудной клетке отражены в таблице 8.

Одним из наиболее сложных случаев для дифференциальной диагностики с ОКСспST является широко обсуждаемая последнее время стресс-индуцированная кардиомиопатия (Тако-Тсубо), которая обычно провоцируется эмоциональным или физическим стрессом. Симптоматика кардиомиопатии может клинически очень точно имитировать острый ИМ (от умеренной боли в груди до кардиогенного шока) и сопровождается элевацией сегмента ST на ЭКГ в отведениях от передней стенки левого желудочка. При выполнении ЭхоКС выявляются признаки апикальной дилатации и дисфункции.

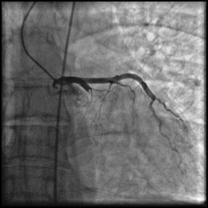
Рисунок 7. Ангиографические признаки окклюзии коронарных артерий при ОКС.

Таблица 8

Принципы дифференциальной диагностики болей в грудной клетке

Особенности клиники Диагностика в приемном отделении
1. Плеврит
· соответственно пораженному участку плевры

· острая, режущая

· сильная

· длительная (дни)

· усиливается при дыхании, кашле

· уменьшается в положении на больном боку

· при аускультации шум трения плевры

· обычно сопутствует клиника пневмонии

· рентгенография легких (инфильтративные изменения в легком, жидкость в плевральной полости)
2. Пневмоторакс
· соответственно пораженному легкому

· острая

· сильная

· длительная (часы, дни)

· усиливается при дыхании

· при аускультации ослабленное дыхание, при перкуссии тимпанит

· сопутствует сухой кашель, одышка

· рентгенография легких (воздух в плевральной полости)


Продолжение табл. 8

· в анамнезе травма, легочная патология, признаки дисплазии соединительной ткани
3. Перикардит
· в области сердца, за грудиной

· острая, режущая

· иррадиация в левое плечо, руку, шею

· от умеренной до очень сильной

· длительная (часы, дни)

· усиливается на вдохе, в положении лежа на спине

· уменьшается в положении сидя с наклоном вперед

· при аускультации шум трения перикарда

· вирусная инфекция накануне

· ЭКГ (конкордантный подъем сегмента ST)

· ЭхоКС (уплотнение листков перикарда, жидкость в полости перикарда, изменения могут отсутствовать)

4. Расслоение аорты
· широко по центру грудной клетки

· раздирающая, волнообразаная

· иррадиация вдоль позвоночника, в руки

· очень сильная (сразу максимальная)

· длительная (часы)

· асимметрия пульса, артериального давления, при аускультации систолический (реже диастолический) шум над аортой

· клинический анализ крови (нарастающая анемия)

· рентгенограмма грудной клетки (расширение средостения)

· ЭхоКС (расслоение аорты)

· спиральная компьютерная томография (расслоение аорты)


Продолжение табл. 8

· в анамнезе высокая артериальная гипертензия, аневризма аорты, синдром Марфана
5.
Тромбоэмболия легочной артерии
· соответственно пораженному легкому

· острая, режущая

· длительная (часы)

· усиливается при дыхании

· цианоз, набухание шейных вен, снижение артериального давления, при аускультации часто отсутствуют хрипы

· сопутствует выраженная одышка

· в анамнезе тромбоз глубоких вен нижних конечностей, длительная иммобилизация

· ЭКГ (признаки перегрузки правых отделов сердца, блокада правой ножки пучка Гиса)

· D-димер крови (повышен)

· ЭхоКС (дилатация, гипокинезия, перегрузка правого желудочка, легочная гипертензия)

· спиральная компьютерная томография (тромбоэмболия легочной артерии)

6. Межреберная невралгия
· в области сердца, аксиллярной области (возможна точечная локализация)

· ноющая, режущая, колющая

· иррадиация по межреберьям в спину, плечо, руку

· от умеренной до очень сильной

· от секунд до часов, дней


Окончание табл. 8

· усиливается при дыхании, кашле, наклонах в стороны

· уменьшается после приема нестероидных противовоспалительных средств

· воспроизводится при пальпации

7. Гастроэзофагеальная рефлюксная болезнь
· за грудиной

· давящая, жгущая

· иррадиация в межлопаточную область

· от слабой до сильной

· от минут до часов

· провоцируется приемом пищи, положением лежа

· уменьшается после приема антацидов, ингибиторов протонной помпы

· сопутствует отрыжка воздухом, кислым содержимым

8. Опоясывающий лишай
· соответственно пораженной половине грудной клетки

· острая, жгущая

· очень сильная

· длительная (часы, дни)

· усиливается при дыхании, кашле

· сопутствуют характерные высыпания на коже (предшествует боль), повышение температуры


Принципиально важными при кардиомиопатии Тако-Тсубо являются результаты КАГ, демонстрирующие отсутствие значимых стенозов в предполагаемой инфаркт-связанной артерии, а также транзиторный характер гипокинезии апикальных отделов и гиперкинезии базальных при ЭхоКС.

Тщательный и подробный сбор анамнеза, внимательная оценка симптоматики в сочетании с правильной интерпретацией результатов объективного обследования позволяют с высокой вероятностью установить точный диагноз и составить соответствующий план лечения больного.

<< | >>
Источник: В. А. Рябков, Т. И. Кулагина, Н. Н. Везикова. Острый коронарный синдром (диагностика). 2012

Еще по теме ДИФФЕРЕНЦИАЛЬНАЯ ДИАГНОСТИКА ОКС:

  1. 5.11. Дифференциальная диагностика
  2. ОСНОВНЫЕ ПРИНЦИПЫ ДИАГНОСТИКИ ОКС
  3. ДОПОЛНИТЕЛЬНЫЕ МЕТОДЫ ДИАГНОСТИКИ ОКС
  4. ЭКГ-ДИАГНОСТИКА ОКС
  5. Дифференциальный и комплексный методы
  6. КЛИНИЧЕСКИЕ ПРОЯВЛЕНИЯ ОКС
  7. 2.1. Дифференциальная и абсолютная рента в земледелии
  8. Глава 7 Совладающий Интеллект в контексте дифференциальной психологии
  9. Термин “ОКС” используют для обозначения обострения ИБС.
  10. Важнейшая характеристика ИМпST и других форм ОКС